Due to continued impacts from the weekend's winter storm, the Batten School & VIMS campus will be closed on Tuesday, January 27.

Fecundity & Histology

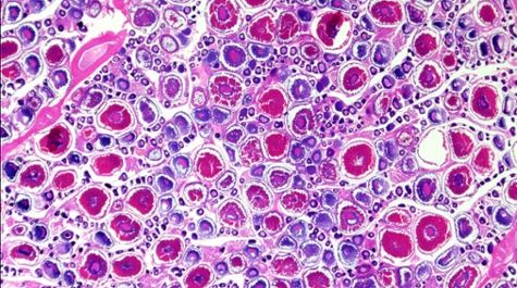
Atlantic Menhaden Ovaries
Atlantic Menhaden Ovaries Laboratory processing of each fish includes: fork length, whole & eviscerated weight, sex, macroscopic maturity classification, paired ovary weight, scale and otolith removal.
Embedding
Embedding Ovarian tissue sections in paraffin wax
Embedding ovary sections
Embedding ovary sections on the HistoStar™ Embedding Workstation. After the sections are mounted in molten paraffin they are placed on a cooling plate. Once they have fully cooled the samples are popped out of the plastic molds.
Sections form a ribbon
Sections form a ribbon Ideally 5-6 good sections are stuck together. The sections are removed using forceps and a wet paint brush and carefully laid on top of 42° C water bath. Choose the best 1-2 sections (depending on the size of the sample) and position them on a microscope slide. Place in a slide drying rack.
Drying
Drying Once the tissues are mounted on the slides they are placed on a heated slide drying rack overnight.
Staining
Staining Once the slides have been dried overnight they are put in racks and placed in the automatic stainer, and ran through a routine staining procedure which takes ~1 hour. Once complete the stained slides are coverslipped and put in the drying oven for ~48 hours.
Stained and cover-slipped slides
Stained and cover-slipped slides Once the slides have been dried overnight they are put in racks and placed in the automatic stainer, and ran through a routine staining procedure which takes ~1 hour. Once complete the stained slides are coverslipped and put in the drying oven for ~48 hours.
Ova counts
Ova counts Conduct ova counts based on results of the histological slide interpretation.
11
11 Conduct ova counts based on results of the histological slide interpretation.
13
13 Conduct ova counts based on results of the histological slide interpretation.

Why is the Multispecies Research Group studying the fecundity of Atlantic Menhaden?

Atlantic Menhaden Brevoortia tyrannus support fisheries that yield the largest landings by volume on the U.S. East Coast and fulfill a critical ecological role as a forage species. The spawning reference point of the stock assessment model that is routinely applied to this species requires information on total annual fecundity. The goal of this study was to generate a contemporary, histology-based evaluation of the reproductive biology and fecundity of female Atlantic Menhaden.

The reproductive biology and fecundity of female Atlantic Menhaden

Objectives

  • Collect female Atlantic Menhaden over all seasons & from throughout the Mid-Atlantic Bight
  • Process ovaries using standard histological techniques. Information on maturity stages, spawning mode, seasonality & frequency.
  • Count ova based on histological findings
  • Model fecundity as a function of size & age.

Sample Area

menhaden_fecundity_samplearea.jpg

 

 

 

 

 

 

 

 

 

 

 

 

 

 

 

 

 

 

 

 

 

 

 

 

Capture locations of female Atlantic Menhaden from fisheries-dependent gear (green hues) and fisheries-independent gear (orange hues), 2013–2019. ALOSINE, alosine staked gill-net survey; ChesMMAP, Chesapeake Bay Multispecies Monitoring and Assessment Program; NEAMAP, Northeast Area Monitoring and Assessment Program.

Laboratory Processing & Supplies:

Laboratory processing of each fish includes: fork length, whole & eviscerated weight, sex, macroscopic maturity classification, paired ovary weight, scale and otolith removal.

 Laboratory Processing Supplies:Female Atlantic Menhaden ready for ovary removal and workup. Image credit: Joel Hovanesian

  • Analytical Balance - minimum of 0.001 g to a maximum of 410 g
  • Fish Measuring Board
  • Hubco labels
  • Soil sample bags – ovary preservation
  • Screw top vials – otolith storage
  • Sample envelopes – Fish Scales
  • Scalpel + blades
  • Tissue Processing Embedding Cassettes
  • Tissue-Tek Marking Pencils
  • Plastic 1 gallon jugs for sample storage
  • Chemicals used for preservation:
    • Normalin
    • 10% Neutral Buffered Formalin
    • 70% Ethanol

Histology Laboratory Supplies:

  • Lab tissue processor - Thermo Excelsior ES
    • Ethanol
    • Xylene
    • Paraffin Wax
  • HistoStar™ Embedding Workstation
    • Paraffin Wax
  • Histology embedding molds
  • Razor scraper
  • Tanner Scientific TN6000 Manual Precision Microtome 
  • High Profile disposable Microtome Blades
  • Sharps container
  • Lighted tissue flotation water bath
  • Gelatin
  • Styrofoam Tray
  • Crushed Ice
  • Frosted microscope slides
  • Forceps
  • Paint brushes
  • Slide drying rack
  • Slide warmer
  • Kimtech wipes
  • Microscope slide boxes

Staining Supplies:

Stained Atlantic menhaden Ovary

  • Lab Coat
  • Nitrile Gloves
  • Shandon Varistain Gemini automatic stainer
  • Chemicals for staining:
    • Xylene
    • 100% ethanol
    • 95% ethanol
    • Hematoxylin
    • Acid Alcohol
    • NaHCO2
    • Eosin Y
  • Laboratory Fume Hood
  • Glass coverslips
  • Permount Mounting Medium
  • Kimtech wipes
  • Cotton Swabs
  • Aluminum slide trays
  • Drying Oven

Histological Interpretation Supplies:

Compound Microscope and software
  • Analytical Balance - minimum of 0.001 g to a max. of 410 g
  • Spoonula
  • Custom made grid for counting / measuring eggs
  • Glycerin to separate eggs
  • Compound microscope
  • NIS Elements software