Oyster aquaculture limits disease in wild oyster populations

A study initiated by Dr. Ryan Carnegie of the Virginia Institute of Marine Science has found that oyster aquaculture operations can limit the spread of disease among wild populations of oysters. The findings are contrary to long-held beliefs that diseases are often spread from farmed populations to wild populations.

Dr. Tal Ben-Horin, the study’s lead author and a postdoctoral fellow at the University of Rhode Island, says “The very act of aquaculture has positive effects on wild populations of oysters. The established way of thinking is that disease spreads from aquaculture, but in fact aquaculture may limit disease in nearby wild populations.”

Dr. Ryan Carnegie addresses participants during a 2014 workshop held to explore options for improving management of oyster and clam diseases along the U.S. East Coast in light of the region’s rapidly growing aquaculture industry.Carnegie, a study co-author and research professor at VIMS, brought the study team together as part of a Research Coordination Network on marine diseases funded by the National Science Foundation and led by Drew Harvell of Cornell University. Published this week in the journal Aquaculture Environment Interactions, the team’s study was part of a broader project at the National Center for Ecological Analysis and Synthesis.

“We were interested in testing widely held assumptions about how diseases might impact shellfish aquaculture,” says Carnegie, “specifically the idea that large numbers of farmed animals would produce higher levels of disease that could spread to nearby wild or fishery resources. Our hunch was that oyster aquaculture could serve as a ‘sink,’ rather than a ‘source,’ for pathogens that primarily spread when oysters die, because the point of aquaculture is to remove oysters from the system before that happens.”

By showing that this hunch is correct, Carnegie says the research “highlights an important ecological benefit that intensive shellfish aquaculture may provide.” He adds, “This should help bolster the well-justified perception of shellfish aquaculture as a green industry worthy of public support, which this industry must have if it is to grow.”

Mathematical disease models

Working with Carnegie,  former VIMS postdoctoral associate Maya Groner, VIMS Master’s student Lauren Huey, and colleagues at the University of Maryland Baltimore County, Rutgers University, and the U.S. Department of Agriculture, Ben-Horin integrated data from previous studies into mathematical models to examine the interactions between farmed oysters, wild oysters, and the common oyster disease Dermo.

Carnegie says “Our study was based on mathematical modeling that drew on field data that has been collected very widely—from the Gulf of Mexico through the Atlantic. The models were basically available on the shelf by virtue of having been developed over the years; we were able to take advantage of them to ask some specific questions about disease dynamics.”

Diseases are among the primary limiting factors in wild oyster populations. In the Chesapeake Bay and Delaware Bay, wild oysters are managed with the understanding that most will die from disease, while there are few wild populations of oysters in New England because of Dermo and other diseases.

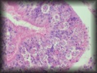
A photomicrograph showing cells of Dermo ({em}Perkinsus marinus{/em}) in tissues of the Eastern Oyster {em}Crassostrea virginica.{/em}Dermo is caused by a single-celled parasite that occurs naturally in the environment and proliferates in the tissue of host oysters, which spread the parasite to other oysters when they die and their parasite-infected tissues decay. But it takes two to three years for the parasite to kill the oysters. As long as the oysters are held on farms long enough to filter disease-causing parasites from the water, but not so long that parasites develop and proliferate and spread to wild oysters nearby, aquaculture operations can reduce disease in wild populations.

The disease does not cause illness in humans.

“As long as aquaculture farmers harvest their product before the disease peaks, then they have a positive effect on wild populations,” says Ben-Horin. “But if they’re left in the water too long, the positive effect turns negative.”

The researchers note that several factors can confound the positive effect of oyster aquaculture. Oyster farms that grow their product on the bottom instead of in raised cages or bags, for instance, are unlikely to recover all of their oysters, resulting in some oysters remaining on the bottom longer. This would increase rather than reduce the spread of the disease.

“But when it’s done right, aquaculture can be a good thing for wild oyster populations,” says Ben-Horin. “Intensive oyster aquaculture —where oysters are grown in cages and growers can account for their product and remove it on schedule—is not a bad thing for wild populations.”

In intensive culture, growers use cages to protect oysters from predation.  © K. Hudson/VIMS.The study’s findings have several implications for the management of wild and farmed oysters. The authors recommend establishing best management practices for the amount of time oysters remain on farms before harvest. They also suggest that aquaculture managers consider the type of gear—whether farmers hold oysters in cages and bags or directly on the seabed—when siting new oyster aquaculture operations near wild oyster populations.

The next step in the research is to gain a better understanding of how far the Dermo parasite can spread by linking disease models with ocean circulation models.

“Everything that happens in the water is connected,” says Ben-Horin. “There’s a close relationship between the wild and farmed oyster populations and their shared parasite. Sometimes ecosystem level effects are overlooked, but in this case they’re front and center.”

“It’s critical that we fully appreciate how aquaculture fits in the ecology of marine systems, and this study provides new perspective on this,” says Carnegie. “It highlights an important ecological benefit that intensive shellfish aquaculture may provide.”


Ben-Horin T, Burge CA, Bushek D, Groner ML and others (2018) Intensive oyster aquaculture can reduce disease impacts on sympatric wild oysters. Aquacult Environ Interact 10:557-567. https://doi.org/10.3354/aei00290